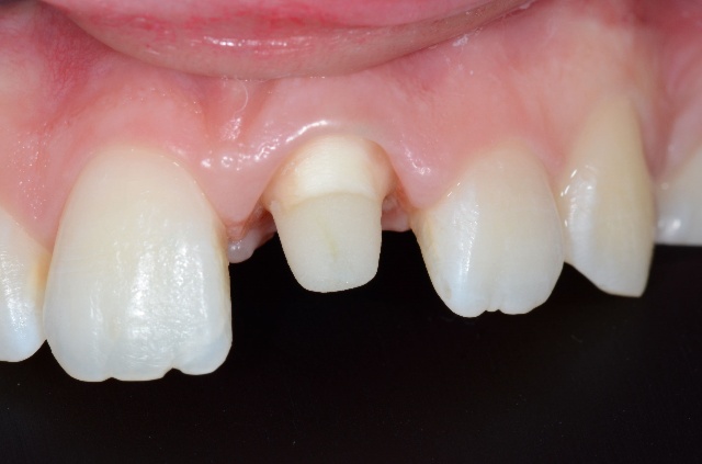
Reconstitutions corono-radiculaires : le tenon en question

Reconstitutions corono-radiculaires : le tenon en question

Les données actuelles des reconstitutions corono-radiculaires

15 oct. 202608:30 - 18:00
Siège Information Dentaire I Paris

Reconstitutions corono-radiculaires : le tenon en question

Les données actuelles des reconstitutions corono-radiculaires
Reconstitutions corono-radiculaires : le tenon en question

15 oct. 202608:30 - 18:00
Siège Information Dentaire I Paris

Reconstitutions corono-radiculaires : le tenon en question

Les données actuelles des reconstitutions corono-radiculaires
Reconstitutions corono-radiculaires : le tenon en question

15 oct. 202608:30 - 18:00
Siège Information Dentaire I Paris

Contenu de la formation

1. Les indications de mise en place d’un tenon

2. Le cerclage

• Principes  • Cerclage, matériaux et mode de jonction  • Conserver ou extraire ?

3. Les reconstitutions par matériaux insérés en phase plastique (rmipp)

• Concepts et avantages  • Isolation  • Étapes de préparation  • Différents agents de collage • Les différents ancrages mono tenon ou multi fibres

4.Les inlay cores fibrés et les endo-couronnes

• Indications  • Étapes cliniques

5. Travaux patiques

• Réalisation de 2 RMIPP (tenon simple et tenons fasciculés) sur maquette sur les dents 25 et 15 • Réalisation d'un SFRC sur maquette sur la dent 26 • Préparation anatomique pour inlay core fibré et Empreinte optique

Une question ? Nous sommes à votre écoute

Chargement

A propos d'Id Webformation

Id Webformation est un organisme de formation agréé par l’Agence Nationale du Développement Professionnel Continu (DPC) et certifié Qualiopi. Nous proposons des formations aux chirurgiens-dentistes et aux othodontistes exerçant en libéral ou en milieu hospitalier.