Cantilever

Gérer l’absence d’une dent dans le sourire : le bridge cantilever

24 sept. 202608:30 - 18:00
Siège Information Dentaire I Paris

Intervenant:
Cantilever

Informations générales

• Type de formation = Formation intégrée • Durée = 11 Heures

Résumé
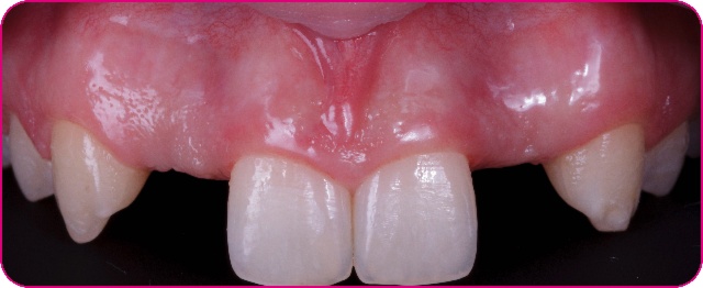
L'édentement unitaire antérieur est généralement traité par une thérapeutique implantaire. Celle-ci constitue aujourd'hui la démarche de première intention dans la plupart des situations cliniques. Toutefois, outre les contre-indications d'ordre médical, certaines indications sont remises en question et peuvent alors bénéficier d'une prise en charge plus moderne, grâce à des restaurations esthétiques en céramique collée. De façon générale, les indications initiales des bridges collés s'adressaient aux traitements des édentements unitaires aussi bien antérieurs que postérieurs. Ces premiers bridges collés en métal présentaient d'excellents résultats en termes de longévité mais la translucidité des dents antérieures, en particulier des incisives, constituait une limite esthétique dans certaines situations. L'évolution de cette approche a été possible non seulement grâce aux nouveaux matériaux de collage et d'armature mais aussi grâce à de nouvelles morphologies des préparations, permettant d'améliorer leur résultat esthétique et le comportement mécanique. Ainsi, les céramiques de haute ténacité comme la zircone ou, plus récemment, le disilicate de lithium sont aujourd'hui des options cliniques envisageables. De même, l'évolution du principe mécanique de deux ailettes collées vers une option de type cantilever, ne présentant donc qu'une seule ailette, est aussi avérée cliniquement et scientifiquement. Il est ainsi concevable aujourd'hui de proposer cette option thérapeutique à la place de la solution implantaire, voire en première intention dans certaines indications.

Objectifs pédagogiques
L'édentement unitaire antérieur est généralement traité par une thérapeutique implantaire. Celle-ci constitue aujourd'hui la démarche de première intention dans la plupart des situations cliniques. Toutefois, outre les contre-indications d'ordre médical, certaines indications sont remises en question et peuvent alors bénéficier d'une prise en charge plus moderne, grâce à des restaurations esthétiques en céramique collée. De façon générale, les indications initiales des bridges collés s'adressaient aux traitements des édentements unitaires aussi bien antérieurs que postérieurs. Ces premiers bridges collés en métal présentaient d'excellents résultats en termes de longévité mais la translucidité des dents antérieures, en particulier des incisives, constituait une limite esthétique dans certaines situations. L'évolution de cette approche a été possible non seulement grâce aux nouveaux matériaux de collage et d'armature mais aussi grâce à de nouvelles morphologies des préparations, permettant d'améliorer leur résultat esthétique et le comportement mécanique. Ainsi, les céramiques de haute ténacité comme la zircone ou, plus récemment, le disilicate de lithium sont aujourd'hui des options cliniques envisageables. De même, l'évolution du principe mécanique de deux ailettes collées vers une option de type cantilever, ne présentant donc qu'une seule ailette, est aussi avérée cliniquement et scientifiquement. Il est ainsi concevable aujourd'hui de proposer cette option thérapeutique à la place de la solution implantaire, voire en première intention dans certaines indications.

Contenu de la formation

Introduction ● Épidémiologie des absences de dents dans le sourire ● Étiologies des absences de dents dans le sourire ● Problématiques cliniques, chronologiques et financières ● Codification administrative et aspects financiers comparés (implant versus cantilever) Définitions ● Agénésie, Oligodontie ● Microdontie ● Croissance faciale continue L’option implantaire ● Prérequis pour l’implantologie dans le secteur antéro-maxillaire ● Risques associés en termes d’esthétique, de stabilité parodontale, selon l’âge du patient ● Intérêts de l’option implantaire L’option bridge collé ● Historique des bridges scellés puis collés ● Évolution moderne vers la céramique et l’ailette unique : le concept cantilever ● Présentation du rapport de la HAS « Évaluation des prothèses plurales en extension (bridges cantilever) et des prothèses plurales collées (bridges collés) » – 2016 ● Arbitrage entre option implantaire et bridge collé : le patient au cœur de la décision La réflexion partagée avec l’orthodontiste avant le traitement ● Détection de l’agénésie ou des agénésies : quand commencer la collaboration ? ● Les facteurs de risque ● Les facteurs physiologiques (déglutition linguale) ● Les facteurs typologiques (types faciaux) ● Fermer ou ouvrir l’espace de la dent manquante en cas d’agénésie : impacts esthétiques et occlusaux ● Avulser la dent temporaire : quand procéder ? ● Stratégies dans les cas complexes : association de solutions thérapeutiques pour les oligodonties Le positionnement orthodontique des dents présentes ● Analyse esthétique : quels critères gingivo-dentaires rechercher ? ● Le smile design comme outil d’aide à la collaboration prothético-orthodontique ● Moyens de temporisation esthétique des dents absentes durant le traitement orthodontique La temporisation de la dent manquante après l’orthodontie ● Options chronologiques de la prise en charge optimisée orthodontie / prothèse ● Temporisation après la dépose de l’appareillage orthodontique ● Temporisation de longue durée en cas de nécessité (économique, reconstruction ostéo-muqueuse, etc.) Préparation gingivale du site édenté ● Objectifs esthétiques : l’ovate pontic ● Objectifs fonctionnels : éviter la rétention alimentaire ● Moyens soustractifs : fraisage, électrocoagulation, laser ● Moyens additifs : greffes conjonctives ● Gouttière thermoformée rigide : avantages et rôles dans la contention, la mise en forme et l’éclaircissement Préparation de la dent support ● Choisir la dent support de l’ailette collée selon la meilleure option clinique pour le patient ● Formes de préparation selon la dent support : enjeux mécaniques et esthétiques ● Enregistrement de la préparation et temporisation Communication avec le laboratoire de prothèse ● Options modernes : disilicate de lithium et zircone (aspects mécaniques et esthétiques des deux matériaux) ● Choisir selon les données mécaniques et les contraintes intrinsèques du matériau ● Communiquer avec le laboratoire de prothèse pour évaluer la section du connecteur du bridge cantilever ● Communiquer les informations colorimétriques ● Réalisation au laboratoire : reproduction de la zone gingivale, épaisseurs et finitions de la céramique Collage du bridge cantilever ● Essayage ● Installation idéale du champ opératoire pour le collage ● Choix des produits de collage selon le matériau céramique retenu ● Préparation idéale des surfaces dentaires et prothétiques ● Intérêt des clefs de positionnement ● Protocole clinique ● Finitions et contrôles cliniques du collage ● Conseils d’hygiène bucco-dentaire adaptés à la morphologie en cantilever Contrôles immédiats et à long terme ● Contrôle et réglages occlusaux statiques et dynamiques ● Choix du mode de contention (fil collé, gouttière rigide, etc.) ● Périodicité des contrôles ● Attitude face à une ouverture de diastème (diagnostic de la cause et repositionnement par gouttière) ● Attitude face à un décollement ou une fracture du bridge cantilever Cas cliniques ● Spécificités liées au remplacement des incisives centrales, latérales ou des canines, maxillaires et mandibulaires ● Spécificités en cas de fente labio-maxillaire ● Spécificités en cas d’oligodontie

Une question ? Nous sommes à votre écoute

Chargement